骨二科为93岁高龄患者成功实施股骨头置换手术
- 分类:医院动态
- 作者:
- 来源:
- 发布时间:2021-11-02 09:10
- 访问量:
【概要描述】93岁的张爷爷不慎在家摔伤,左髋关节疼痛难忍,不敢活动,被家人紧急送至我院骨二科门诊就诊,检查提示左股骨颈骨折,入住骨二科治疗。 骨二科主管医生杨少洲接诊患者后,给予卧床制动,镇痛、补液、预防血栓等初步治疗。完善检查,评估患者的身体状况,经检查提示患者存在脑梗塞、脑积水、冠心病、缺血性心肌病、左前半束支传导阻滞、肾功能衰竭(代偿期)、贫血、电解质紊乱、高尿酸血症、骨质疏松等疾病。考虑患者年龄高
骨二科为93岁高龄患者成功实施股骨头置换手术
【概要描述】93岁的张爷爷不慎在家摔伤,左髋关节疼痛难忍,不敢活动,被家人紧急送至我院骨二科门诊就诊,检查提示左股骨颈骨折,入住骨二科治疗。 骨二科主管医生杨少洲接诊患者后,给予卧床制动,镇痛、补液、预防血栓等初步治疗。完善检查,评估患者的身体状况,经检查提示患者存在脑梗塞、脑积水、冠心病、缺血性心肌病、左前半束支传导阻滞、肾功能衰竭(代偿期)、贫血、电解质紊乱、高尿酸血症、骨质疏松等疾病。考虑患者年龄高
- 分类:医院动态
- 作者:
- 来源:
- 发布时间:2021-11-02 09:10
- 访问量:
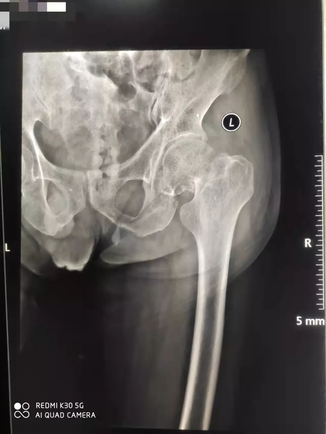
93岁的张爷爷不慎在家摔伤,左髋关节疼痛难忍,不敢活动,被家人紧急送至我院骨二科门诊就诊,检查提示左股骨颈骨折,入住骨二科治疗。


骨二科主管医生杨少洲接诊患者后,给予卧床制动,镇痛、补液、预防血栓等初步治疗。完善检查,评估患者的身体状况,经检查提示患者存在脑梗塞、脑积水、冠心病、缺血性心肌病、左前半束支传导阻滞、肾功能衰竭(代偿期)、贫血、电解质紊乱、高尿酸血症、骨质疏松等疾病。考虑患者年龄高、基础疾病多、手术风险大,告知患者家属病情及治疗方案和风险,经科室讨论后决定施行手术治疗,以便于患者早下床,减少卧床后的各种致命的并发症发生。请有关科室会诊后,骨二科为患者制定了详细周密的手术方案。凭借着丰富的临床经验和高水平创伤救治能力,在麻醉科的保驾护航下,骨二科团队用娴熟的手术技术,默契的团队配合,半小时内顺利完成左侧人工股骨头置换手术。术后24小时患者下床锻炼,1周后办理出院。


aty爱体育·(中国)平台官方网站骨二科李梁主任指出:老人髋关节周围骨折由于创伤重,并发症多,死亡率高,常常被称为“人生最后一次骨折”,老年人要特别注意,做好防滑措施。一旦不慎发生骨折,条件允许应尽快手术治疗,以便让老人在床上自如活动或下地,提高生存率和生活质量。社会逐渐步入老龄化时代,高龄患者渐增多,往往合并多基础疾病,因此该类患者治疗相对复杂,难度大,风险高,预后差。作为医务人员,有责任为患者提供有利的、相对安全的治疗措施。
扫二维码用手机看
国家卫生部首批授予的二级甲等医院、爱婴医院
- 专科门诊工作时间为:7:30-20:00,中午不休息,节假日正常接诊;
- 中午、节假日不休息; 急诊、儿科门诊24小时接诊;;
- 检验、B超、CT、胸片等常规检查24小时服务;
- 核酸检测:24小时服务。
联系我们
扫一扫
关注医院微信公众平台
联系我们
扫一扫
关注医院微信公众平台

