神经疾病诊疗康复中心
- 分类:内科科室
- 发布时间:2021-10-12 18:06
- 访问量:
神经疾病诊疗康复中心
- 分类:内科科室
- 访问量:
神经疾病诊疗康复中心,下设神经一科、神经二科、神经三科(神经外科)、康复科。秉承“防-治-康-养”的现代化诊疗服务理念,集神经系统疾病的预防、诊疗、康复、养护为一体,为患者提供一站式医疗服务。
业务范围:
介入微创特色突出的血管病治疗中心---卒中中心
精准化、规范化晕病诊治---眩晕中心
设备齐全、手段多样、服务周到的康复治疗---康复中心
实现癫痫类疾病的精准化诊治---建设中的癫痫中心
同时包含身心医学、睡眠医学等亚专业学科。
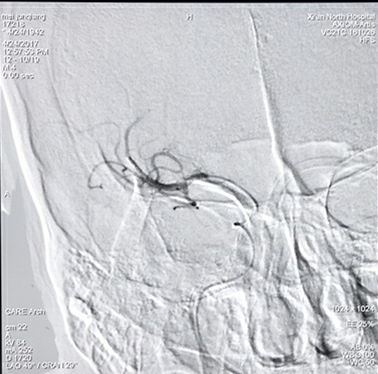
脑血管病的介入病例举例
病例一:急性脑梗死取栓治疗
活动中突然跌倒昏迷。造影显示:右侧颈内动脉末端闭塞。(下图)

实施取栓治疗后完全恢复(下图)

病例二:慢性颈动脉闭塞开通手术
反复左侧肢体无力,造影显示右侧颈动脉慢性闭塞。(下图)

实施颈动脉慢性闭塞开通后颈动脉完美再现,左侧肢体无力症状消失(下图)

扫二维码用手机看
上一个:
儿科成功救治一例新生儿败血症
下一个:
新生儿科
上一个:
儿科成功救治一例新生儿败血症
下一个:
新生儿科
国家卫生部首批授予的二级甲等医院、爱婴医院
- 专科门诊工作时间为:7:30-20:00,中午不休息,节假日正常接诊;
- 中午、节假日不休息; 急诊、儿科门诊24小时接诊;;
- 检验、B超、CT、胸片等常规检查24小时服务;
- 核酸检测:24小时服务。
联系我们
扫一扫
关注医院微信公众平台
联系我们
扫一扫
关注医院微信公众平台

